Du geste à la vision.Un espace pour progresser, valoriser et transmettre.

3 parcours pour 3 ambitions

Niveau 1 – Fondations

Maîtriser les bases de l’omnipratique pour une pratique efficace, confiante et rentable.
Un investissement qui permet de gagner 5 ans.
Indiqué pour : étudiants, praticiens débutants, remise à niveau général

Niveau 2 – Maîtrise

Développer des cas plus complexes, intégrer réhabilitation complète, greffe osseuse et mucco gingivale dans ton plateau technique.
Indiqué pour : omnipraticiens installés avec quelques années d’expérience

Niveau 3 – Excellence

Repenser toute ta stratégie clinique. Complexes esthétiques, full-arch, workflow numérique, efficacité maximale.
Indiqué pour : praticiens confirmés, leaders de cabinet, gérant de structure avec collaborateurs

Chez OMNI, nous croyons qu’un omnipraticien complet ne se construit ni en un jour, ni en un seul module.
Notre formation a été conçue comme un parcours progressif, pour vous permettre de :
Poser des bases solides (Niveau I – Fondations)Monter en complexité et en stratégie (Niveau II – Maîtrise)Accéder à une vision experte, transversale et transmissible (Niveau III – Excellence)👉 Chaque niveau comprend 7 modules cliniques et organisationnels, pensés comme un ensemble cohérent.
Ils peuvent être suivis en continu ou adaptés selon vos priorités cliniques.
💡 À partir du niveau II, vous avez la possibilité de choisir les modules individuellement, selon vos besoins ou votre timing.Que vous souhaitiez consolider vos bases, traiter des cas complexes ou structurer votre vision de cabinet, OMNI vous accompagne à chaque étape.

Niveau I Fondations 2025/206

Un socle stratégique pour maîtriser l’omnipratique moderne.
7 modules cliniques et organisationnels animés par 6 formateurs.
Objectifs :
• Structurer sa consultation
• Clarifier ses choix thérapeutiques
• Renforcer sa polyvalence clinique
• Acquérir les bases d’une organisation durable
Modules :
1. Consultation 2.0: 20,21,22 Novembre 2025
2. Prothèse / Restauratrice: 22,23,24 Janvier 2026
3. Parodontologie: 26,27,28 Mars 2026
4. Endodontie: 18,19,20 Juin 2026
5. Implantologie: 10,11,12 Septembre 2026
6. Orthodontie: 5,6,7 Novembre 2026
7. Gestion: 14,15,16 Janvier 2026
7500 € ( ou 550€ par mois pendant 14 mois)

Niveau II Maitrise

Approfondir sa compétence clinique et sa capacité à piloter des plans de traitement complexes.
7 modules cliniques et organisationnels animés par 6 formateurs.
Objectifs :
• Construire des plans de traitement globaux cohérents
• Gagner en justesse dans ses arbitrages thérapeutiques
• Gérer des cas pluraux en implantologie
• Optimiser son organisation clinique et technique
Modules :
1. Plan de traitement global
2. Prothèse restauratrice stratégique
3. Parodontologie avancée
4. Endodontie complexe
5. Implantologie plurale & esthétique
6. Orthodontie préprothétique / préimplantaire
7. Organisation clinique & gestion du temps
8500 € ( ou 650 € par mois pendant 14 mois)

Niveau III Excellence

Un programme expert pour intégrer, transmettre et exercer avec stratégie.
7 modules cliniques et organisationnels pensés pour les praticiens expérimentés.
Objectifs :
• Gérer des cas interdisciplinaires complexes
• Séquencer les traitements longs
• Anticiper les complications et piloter les imprévus
• Déployer une vision stratégique du cabinet et de l’équipe
Modules :
1. Séquençage complexe
2. Prothèse globale
3. Parodontologie avancée / chirurgie mixte
4. Implantologie avancée
5. Orthodontie complexe
6. Organisation stratégique
7. Transmission
9500 € (ou 700 € par mois pendant 14 mois)

Pour le niveau 2 et 3 vous pouvez ne pas suivre tous les modules ( bien que nous recommandions la vision globale). Le coût d'un module isolé est de 1750 €. Vous pouvez nous écrire à [email protected] ou nous appeler au 0620714194.

Inscription à la formation OMNI

Dr Paul Mattout
Spécialiste en implantologie et parodontologie
Habilité à diriger les recherches, auteur( 3 livres et plus de 100 publications), conférencier et ancien président de la Société Française de Parodontologie: le plus haut gradé d'Omni.
Il transmet une approche rigoureuse fondamentale et clinique en parodontologie/implantologie.

Dr Frédéric Sebban
Omnipraticien
Co-fondateur OMNI , il est associé à Nicolas depuis 2013 . Ils sont à la tête de 2 structures à Marseille et Embrun. Omnipraticien complet et créatif il interviendra dans la plupart des modules pour vous partager la vision globale.
Il est également co-créateur d’AIDEN, assistant IA pour le diagnostic dentaire.

Dr Nicolas Vartanyan
Omnipraticien
Co-fondateur d’OMNI aux côtés de Frédéric , avec qui il dirige deux structures regroupant 25 collaborateurs.
Omnipraticien exigeant, passionné de pédagogie clinique, il intervient dans la majorité des modules.
Il est le garant de la solidité des protocoles et techniques retenues.
Il est également co-créateur d’AIDEN, assistant IA pour le diagnostic dentaire.

Dr Michel Arnaud
Omnipraticien
Omnipraticien expérimenté, pionnier dans l'usage de la zircone, inventeur de l'implant KMB, Michel Arnaud accompagne les praticiens dans la structuration de leur activité et leur trajectoire professionnelle.
Spécialiste du pilotage de cabinet, il intervient chez OMNI sur les modules de gestion, d'organisation, et d’arbitrage stratégique.
Son approche est claire, pragmatique, et adaptée à la réalité du terrain.

Edmond BinhasFondateur de Binhas Global Dental School, il est l’un des référents français en stratégie, communication et management d’équipe en cabinet dentaire.
Il apporte à OMNI son expertise en pilotage d’activité, posture de leader et expérience patient.
Son approche mêle efficacité, clarté et outils concrets.

Dr Guillaume Couderc
Endodontiste
Endodontiste exclusif, ancien interne et assistant à l'université d'Aix Marseille, il intervient chez OMNI sur la gestion des traitements canalaires complexes, des retraitements et de la conservation pulpaire.
Son approche pédagogique allie rigueur, reproductibilité et finesse opératoire.
Il rend l’endodontie accessible, cohérente et pleinement intégrée à la pratique d'omnipraticiens.

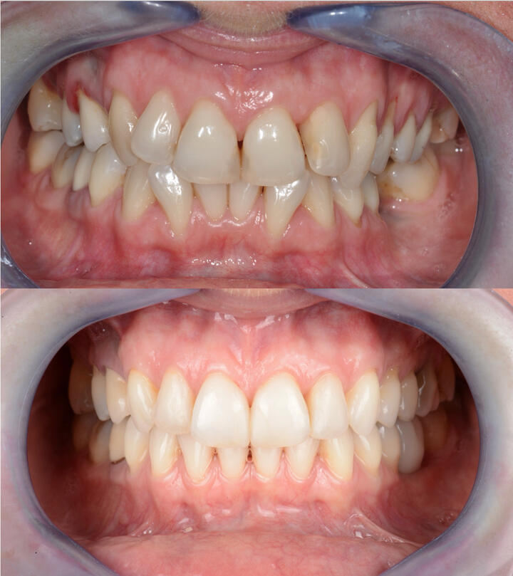
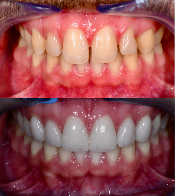
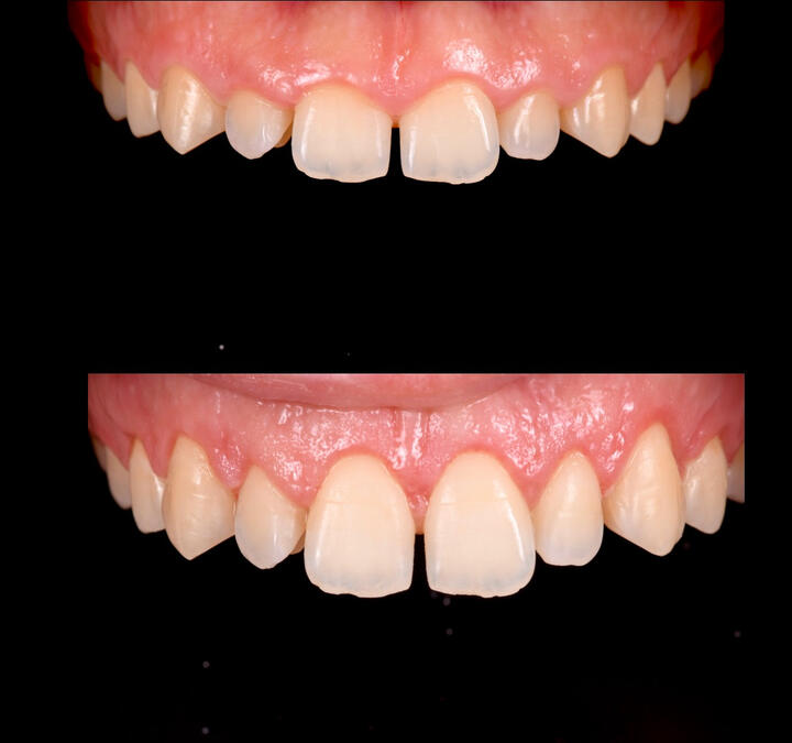
Pourquoi suivre la formation OMNI ? La philosophieUne réponse à une évolutionD’ici 2035, 65 000 chirurgiens-dentistes exerceront en France.Une densité jamais vue. Des tarifs encadrés. Une concurrence croissante.Dans ce contexte, une activité lambda ne survivra pas. Il faut une vision.Ce qui rend OMNI différente1. Une approche complète de la pratiqueOMNI ne sépare pas la clinique, la communication et la gestion.
Une formation globale, qui aide à :
Mieux diagnostiquer
Mieux planifier
Mieux expliquer ses soins
Et donc, naturellement, améliorer l’adhésion des patients et la valorisation des actes.
2. Une structuration pédagogique claireLe programme est organisé en trois niveaux progressifs :
Fondations, Maîtrise, Excellence.
Tu sais où tu en es, ce que tu apprends, et pourquoi tu l’apprends.
3. Des contenus ancrés dans la réalité du cabinetChaque module est conçu par des praticiens en exercice.
Pas de concepts abstraits, mais des solutions concrètes, applicables immédiatement.
4. Un impact direct sur ta pratiqueGagner en fluidité dans la réflexion et l'exécution des plans de traitement
Valoriser son temps clinique: augmentez ses revenus
Améliorer l’expérience patient
Pour qui est OMNI ?Pour ceux qui veulent :
Prendre de meilleures décisions cliniques et de gestion
Renforcer leur autonomie par l'augmentation du champ de compétence
Offrir une expérience de qualité à leurs patients
Améliorer leurs activité et revenus sans perdre leur identité

Articles et vidéos

Valoriser le détartrage

Préparations 6 facettes: partie 1

Bridge collé vs Implant

Mise en charge immédiate

Collage 6 facettes: partie 2

ROG antérieure et provisoire

Ortho + Chir Paro + Composite

Prothèse totale Protocole 2.0

ROG pour remplacer 21 22

Conjonctif enfoui : Zucchelli

Réhabilitation max + mand